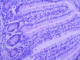
过碘酸—雪夫染色
医学实验主要包括分子生物学、细胞生物学、病理学、免疫学的实验;SCI论文主要包括论文翻译、母语润色改写;专利主要包括发明专利、实用新型专利、外观设计专利的申请;专著主要包括单篇学术论文、系列学术论文和学术专著的出版。
过碘酸-雪夫(Pexiodic acid-schiff,PAS)染色又称糖原染色。胞浆内存在的糖原或多糖类物质(如黏多糖、黏蛋白、糖蛋白、糖酯等)中的乙二醇基(CHOH-CHOH)经过碘酸(Periodic acid)氧化,转变为二醛基(CHO-CHO),与雪夫(Schiff

