华体会在线注册

欢迎访问华体会在线注册-华体会(中国) !

油红染色

医学实验主要包括分子生物学、细胞生物学、病理学、免疫学的实验;SCI论文主要包括论文翻译、母语润色改写;专利主要包括发明专利、实用新型专利、外观设计专利的申请;专著主要包括单篇学术论文、系列学术论文和学术专著的出版。

油红染色 当前位置:华体会在线注册 > 公司产品 > 医学实验 > 病理学 > 特殊染色

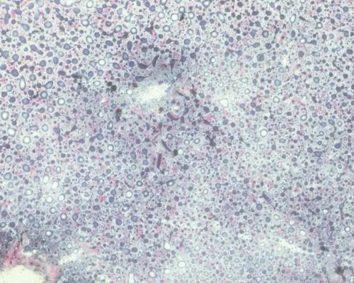
油红染色:油红染色一般指油红O脂肪染色法。油红O脂肪染色法是指在日常病理诊断和科研工作中为了显示组织内的脂肪常采用油红O进行染色的方法,油红O为脂溶性染料,在脂肪内能高度溶解,可特异性的使组织内甘油三

油红染色

       油红染色:油红染色一般指油红O脂肪染色法。油红O脂肪染色法是指在日常病理诊断和科研工作中为了显示组织内的脂肪常采用油红O进行染色的方法,油红O为脂溶性染料,在脂肪内能高度溶解,可特异性的使组织内甘油三酯等中性脂肪着色。
上一篇:结晶紫染色
下一篇:返回列表
热门推荐
>
<